-
中国教育观察
-
中国教育观察
-
中国教育观察
-
中国教育观察
-
少儿守护人 郑树国 口腔卫生
-
主题教育
-
保护视力
-
主题教育
-
家庭教育
-
中华先锋人物
-
中国动漫观察
-
六一儿童节
-
育儿消费
-
孩子 写作业
-
阅读能力
近日,苏州吉美瑞生医学科技股份有限公司(Regend Therapeutics)自主研发的自体肾前体细胞回输制剂REGEND003,联合同济大学医学院,已成功完成注册临床试验的首例患者给药。该试验是国家药品监督管理局(NMPA)批准开展的多中心、单盲、随机对照、剂量递增临床试验。针对首例慢性肾脏病(CKD)受试者的超声引导下肾内细胞移植给药,日前由上海市同济医院(同济大学附属同济医院)肾脏内科余晨主任团队顺利完成。
慢性肾脏病(CKD)是影响全球超10亿人的重大疾病。近十多年来,一系列国际高水平科学研究已明确,SOX9⁺肾前体细胞(一种肾脏干细胞)可在肾损伤微环境中定向激活、增殖迁移,特异性修复受损肾单位结构,逆转早期肾单位病理性损伤。基于此,吉美瑞生采用全球首创的“尿液来源非侵入性获取”技术,可大量扩增自体肾脏来源的SOX9+CD73+肾前体细胞,开发成REGEND003自体细胞制剂。结合肾内注射方法,有望实现人体肾脏组织的直接再生修复及功能重建。
吉美瑞生开发的REGEND003细胞自体回输制剂已于2025年5月获国家药监局批准开展药物I期临床,用于治疗2型糖尿病肾脏病。该产品临床前数据显示,REGEND003展现出强大的再生活性,显著改善肾脏组织病理学、血清肌酐和血尿素氮水平。

绿色荧光显示整合进入肾小球的SOX9⁺肾前体细胞(临床前研究数据)
患者给药治疗概况
患者男性,根据《中国2型糖尿病防治指南》确诊2型糖尿病,近年发现肾功能异常,根据KDIGO标准诊断为CKD,综合诊断为2型糖尿病合并CKD,是慢性肾病高发群体的典型代表。
依托吉美瑞生专利级R-Clone成体上皮组织干细胞培养平台,团队从患者尿液中无创提取自体SOX9+CD73+肾前体细胞——这种被称为肾脏再生“种子”的细胞,正是肾脏再生的核心“主力军”。在GMP高标准生产车间中,这些种子细胞历经约4周定向扩增,实现规模化高效增殖,全程经过多轮严格质量控制,严控细胞表型稳定与功能完整性,最终经过细胞收集、洗涤和灌装,制备成可输注的REGEND003自体细胞回输制剂。
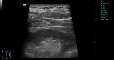
细胞移植环节采用「肾脏专科+超声影像专科」联合诊疗模式,实施超声实时引导下精准肾内靶向注射。操作者在术前对患者进行细致的双肾影像学评估,在超声实时观察下精准测算肾脏皮质厚度、肾动脉内径及解剖走向,规划最优进针角度与安全路径。术中采用局部微创麻醉,在超声定位给药点进针,实时引导患者呼吸节律调控,规避脏器牵拉风险。在超声仪探头实时检测的同时,经皮精准穿刺至肾实质中带定位给药,靶向富集于肾损伤区域。
细胞移植完成后结合CDFI彩色血流成像复核,确认给药位点精准、无活动性出血及肾周渗漏。患者术中全程清醒耐受良好,无即时不良反应。细胞移植后0天至3天短期随访数据显示,患者生命体征平稳、自主活动正常,无感染、发热及注射并发症。细胞移植后3天患者总蛋白、白蛋白指标由术前长期低于正常值水平(分别为60.4 g/L和37.8 g/L)提升至正常水平(65.2 g/L和40.9 g/L),短期内初步验证了给药安全性与修复疗效。

术后超声复查,示肾周及集合系统结构清晰,未见异常征象。
针对首例给药治疗,多方专家进行点评
主要研究者上海市同济医院余晨教授表示:“当前临床CKD治疗长期陷入「可延缓难逆转、移植供体缺乏」困境,糖尿病肾病作为高发亚型,进展至终末期肾病风险极高。从首例患者给药效果来看,首例入组患者给药全程安全可控,短期指标改善趋势积极,期待后续临床数据进一步验证其再生修复效能,为临床攻克难治性肾病提供硬核治疗解决方案。”
吉美瑞生创始人、首席科学家左为教授表示:“REGEND003治疗策略的独特之处在于以高活性的肾前体细胞为起始材料,通过无创取材、肾内定向给药的方式,直接重建肾脏的关键过滤和重吸收结构。本次首例患者顺利给药,是REGEND003针对CKD临床探索的重要起点。整个I期临床将系统评估剂量梯度安全性、人体耐受阈值及短期初步有效性,为后续确证性临床锚定最优给药剂量。”
东部战区总医院国家肾脏疾病临床医学研究中心刘志红院士点评:“很欣喜地看到这项由国内团队主导的原创探索性研究迈出了关键的一步。从患者尿液中无创获取自体肾前体细胞,再精准回植到损伤部位,将基础研究中发现肾前体细胞(SOX9⁺CD73⁺细胞)具有损伤修复的功能,转化为可及的治疗方案。它让我们看到,慢性肾脏病的治疗有望从被动“延缓”走向主动“修复”,这不仅是技术路径的创新,更是治疗理念的跃升。首例自体肾前体细胞回植的成功是一个良好开端,在此基础上仍需扩大样本,在适应症选择,疗效判断,治疗剂量和回植方式等方面对疗效和安全性进行严谨的临床试验验证,最终造福病人。”
南方医科大学南方医院肾内科张福建教授点评:该疗法初步验证了局部给药的安全性。能在注册临床试验框架下完成首例,标志着肾脏再生医学从“概念验证”迈入了高证据等级临床转化阶段。这是一项真正意义上从基础走向临床的First-in-class肾脏再生疗法,其无创取材、自体前体细胞扩增、肾内靶向注射的技术链条完整,首例移植的安全性和短期代谢改善信号令人鼓舞。当然,后续需要更大样本、更长随访、更严谨替代终点的验证。这项技术如果最终成功,将真正改写慢性肾脏病的治疗范式,为全球数亿患者点燃“自身肾脏再生”的希望。
正在阅读:吉美瑞生联合同济医院通过创新肾脏再生疗法完成前体细胞移植